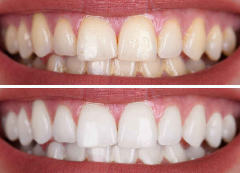
ホワイトニング
第一印象をもっとも輝かせるものは清潔感あふれる、白い歯です。
人生の特別な瞬間
- 大切な人との記念日
- 人生をかけた大事な商談
- 旧友たちと再会する同窓会の席
私たちの人生には最高の自分で臨みたいと願う、特別な瞬間がいくつもあります。
そんな時自信に満ちた輝くような笑顔は、何よりも雄弁にあなたの魅力を伝えてくれるはずです。
このようなお悩みはありませんか?
- 「昔はもっと歯が白かったような気がする」
- 「コーヒーや紅茶が好きだから着色が気になって…」
- 「笑顔に自信が持てなくてつい口元を隠してしまう」
もしあなたが歯の色について、少しでも悩みを抱えているのなら。
もう諦める必要はありません。
あなたの大切な歯を削ることなく生まれ持った歯の色を取り戻し、さらにその先の理想の輝きを手に入れる方法があります。
私たち医療法人社団優勢会がご案内するホワイトニングは、単に歯を白くするだけの作業ではありません。
歯科医療の専門家があなたの安全を第一に考え、医学的な根拠に基づいてその人本来の美しさを最大限に引き出すプロフェッショナルな医療です。
あなたの笑顔が持つ本当のポテンシャルを、ここで解き放ってみませんか。
あなたの歯はなぜ色を変えるのか―歯の黄ばみの本当の理由

歯は生きている証として色を変えます
歯の色が若い頃と比べて少しずつ変化していくのは、決して特別なことではありません。
それはあなたが食事を楽しみながら時を重ねてきた、いわば自然な証でもあります。
大切なのはその原因を正しく知り、適切な対処法を選ぶことです。
歯の変色にはいくつかの原因が考えられます。
歯の変色の主な原因
日々の食生活が描く色彩(外因性の着色)
私たちが日常的に口にするコーヒー、紅茶、赤ワインあるいはカレーやチョコレート。
これらの色の濃い飲食物には「ポリフェノール」などの色素が多く含まれています。
これらの色素が歯の表面を覆う「ペリクル」という薄いタンパク質の膜に付着し、少しずつ蓄積していくことで歯の黄ばみやくすみの原因となります。
これが一般的に「ステイン」と呼ばれる着色汚れです。
嗜好品が残す頑固な色
タバコを吸われる方は「ヤニ」による着色が加わります。
タバコの煙に含まれるタールという物質が歯の表面に粘り着くようにこびりつき、黄褐色から黒褐色の非常に頑固な汚れとなって現れます。
年齢と共に深まる色合い(内因性の変色)
私たちの歯は一番外側を覆う半透明の「エナメル質」と、その内側にある元々少し黄色味を帯びた「象牙質」という層で構成されています。
年齢を重ねると外側のエナメル質が日々の食事や歯ぎしりなどによって、ごくわずかずつ摩耗して薄くなっていきます。
すると内側にある象牙質の黄色がより透けて見えるようになり、歯全体が黄色っぽく感じられるようになるのです。
これは誰にでも起こりうる自然な変化です。
「クリーニング」と「ホワイトニング」―その決定的な違い
歯の着色を改善する方法として「クリーニング」と「ホワイトニング」はしばしば混同されがちですが、その目的とアプローチは全く異なります。
| 項目 | クリーニング | ホワイトニング |
| 目的 | 汚れを落とす | 歯そのものを白くする |
| 方法 | 物理的に汚れを除去 | 薬剤で化学的に色素を分解 |
| 効果 | 歯本来の色を取り戻す | 生まれ持った色以上に白くできる |
| 例え | 窓ガラスの汚れを拭き取る | 曇りガラスを透明ガラスに変える |
クリーニングは「汚れを落とす」処置

歯科医院で行うクリーニング(PMTC)は歯の表面に付着したステインや歯石といった「汚れ」を、専門の器具を使って物理的に取り除く処置です。
窓ガラスの表面についた泥汚れをきれいに拭き取る作業をイメージしてください。
ガラス本来の透明さは取り戻せますが、ガラスそのものの色を変えることはできません。
軽度の着色であればクリーニングだけでも歯が明るくなったように感じられます。
ホワイトニングは「歯そのものを白くする」処置

一方ホワイトニングは専用の薬剤を用いて歯の内部にある象牙質の色素を分解し、歯そのものの色を内側から明るく漂白していく化学的な処置です。
先ほどの例で言えば曇りガラスそのものを、より透明度の高いクリアなガラスに変えていくようなものです。
生まれ持った歯の色以上に白く明るく輝かせることが可能になります。
当院ではまずクリーニングでお口の表面の汚れを徹底的に除去し、ホワイトニング剤が歯に浸透しやすい最適な状態を整えてから施術を行うことを推奨しています。
歯科医院でしかできない本当のホワイトニング―当院の3つの選択肢
安全と安心を何よりも優先します
近年エステサロンなどでも「セルフホワイトニング」という言葉を耳にすることがあるかもしれません。
しかし忘れないでください。
本当のホワイトニングは医療行為です。
医療機関でのホワイトニングの安全性
- 国家資格を持つ歯科医師または歯科衛生士の管理下でのみ使用が許可された安全で効果の高い医薬品を使用
- 施術の前に必ずお口の中を診察し虫歯や歯周病、あるいは歯のヒビなどがないかを確認
- 問題が見つかった場合は先にそちらの治療を優先
- 患者様の安全と健康を守ることが医療機関としての第一の責務
当院ではあなたのライフスタイルや目指す白さのレベル、そしてご予算に合わせて主に三つの選択肢をご用意しています。
ホワイトニングの選択肢
選択肢① オフィスホワイトニング―特別な日のために

歯科医院の診療室内で全ての処置を完了させる方法です。
歯の表面に比較的高濃度のホワイトニング剤を塗布し、特殊な光を照射することで薬剤の効果を活性化させ一気に歯を白くしていきます。
このような方におすすめです
- 「一週間後に結婚式の前撮りがある」
- 「来月の大切なプレゼンテーションまでに印象を良くしたい」
- 「自分でやるのは面倒。プロに全てお任せしたい」
「この日までに白くしたい」という明確な目標がある方や、ご自身で手間をかけたくない方に最適な方法です。
メリットと注意点
- 最大のメリット
即効性があり多くの方が一回の施術で歯が白くなったことを実感 - 注意点
高濃度の薬剤を使用するため色の後戻りが比較的早い傾向 - 注意点
人によっては施術中や施術後に一時的に歯がしみる「知覚過敏」の症状が出やすい
選択肢② ホームホワイトニング―あなたのペースで、内側から透明感を

歯科医院であなたの歯型に合わせた専用の「マウストレー」を作製し、ご自宅でご自身の好きな時間にホワイトニングを行っていただく方法です。
マウストレーに比較的低濃度のホワイトニング剤を注入し、毎日一定時間歯に装着していただきます。
このような方におすすめです
- 「仕事が忙しくて何度も通院する時間はとれない」
- 「白さをできるだけ長く維持したい」
- 「自分のペースでじっくりと理想の白さを追求したい」
ご自身のライフスタイルに合わせて無理なく続けたい方におすすめです。
メリットと注意点
- 最大のメリット
低濃度の薬剤を時間をかけて歯の内部にじっくりと浸透させるため白さに透明感があり後戻りしにくい - メリット
- オフィスホワイトニングに比べて知覚過敏の症状も出にくい傾向
- 注意点
効果を実感するまでには通常2週間程度の期間が必要 - 注意点
毎日継続していただくご自身の努力が不可欠
選択肢③ デュアルホワイトニング―最速で、最高の白さを


オフィスホワイトニングとホームホワイトニング。
この二つの方法を組み合わせることでそれぞれの長所を最大限に引き出し短所を補い合う、当院が最も推奨する究極のホワイトニング方法です。
このような方におすすめです
- 「これ以上ないくらい理想の白さを手に入れたい」
- 「できるだけ早く白くしてその輝きを可能な限り長く保ちたい」
効果と持続性の両方を最高レベルで求める、美への意識が最も高い方のための特別なプランです。
その仕組みと効果
- まず歯科医院でのオフィスホワイトニングで一気に目標の白さまで歯を明るくする
- その直後からご自宅でのホームホワイトニングを継続
- その白さを歯の内部からさらに定着させ色の後戻りを強力に防ぐ
まさに即効性と持続性を兼ね備えた理想的な方法と言えるでしょう。
ホワイトニングを受ける前に知っておいていただきたいこと
白さの効果には個人差があります

ホワイトニングの効果はその方の元々の歯の色や歯の質、年齢などによって現れ方が異なります。
私たちはカウンセリングの際にあなたがどの程度の白さまで目指せるのか、過去の多くの症例を参考にしながらゴールのイメージを正直にお伝えします。
実現不可能な期待を抱かせるようなことは決していたしません。
知覚過敏について―私たちの取り組み
ホワイトニングの過程で一時的に歯が「キーン」としみるような知覚過敏の症状が出ることがあります。
これは薬剤によって歯の表面の水分量が一時的に変化するために起こる現象で、通常は24時間以内に治まりますので過度なご心配は不要です。
知覚過敏対策
- しみ止めの成分が含まれた薬剤を使用
- 施術前後に特別なコーティング剤を塗布
- 症状を最小限に抑えるための様々な工夫を実施
ホワイトニングができないケース、白くならない歯
ホワイトニングをお断りする場合
- 患者様の安全を第一に考え妊娠中・授乳中の方
- 重度の歯周病にかかっている方
また詰め物や被せ物といった「人工の歯」はホワイトニングの薬剤では白くすることができません。
そのような場合にはまずご自身の天然歯をホワイトニングで白くし、その新しい歯の色に合わせて詰め物や被せ物を美しいセラミックなどに交換する「コンビネーション治療」をご提案することも可能です。
これもあらゆる治療に対応できる総合歯科医院である当院だからこそできるアプローチです。
最後に

白い歯はあなたの自信となりコミュニケーションを豊かにし、人生の様々な場面であなたをより一層輝かせる力を持っています。
それは新しい洋服やアクセサリーを身につけることとは次元の違う、あなた自身の内側からあふれ出る本物の輝きです。
まずはあなたがどんな笑顔になりたいか、その理想をお聞かせください。
私たちがその夢を叶えるための最良の道筋を照らし出します。

050-1809-4345