乳歯が虫歯になりやすい理由!乳歯の虫歯の特徴や治療方法、防ぐ方法
こんにちは。千葉県我孫子市の歯医者「ブライト歯科クリニック」です。

乳歯には、永久歯に比べて虫歯になりやすく進行が早いという特徴があります。
子どもは痛みや症状をうまく伝えることが難しく、発見が遅れることも珍しくありません。突然できた子どもの虫歯にショックを受ける保護者の方も多いのではないでしょうか。
乳歯が虫歯になると、のちに生えてくる永久歯にも影響を及ぼす可能性があります。いずれ抜ける乳歯であっても、放置せずに早めに対処することが大切です。
今回は、乳歯の虫歯の特徴や治療方法、乳歯の虫歯を防ぐ方法について詳しく解説します。
乳歯が虫歯になりやすい理由

乳歯が虫歯になりやすい理由は、以下のとおりです。
歯質が柔らかい
乳歯は石灰化が進んでいないため、永久歯に比べて柔らかいです。歯質が柔らかいと、酸に溶けやすい状態であるため虫歯になりやすいです。
エナメル質が薄い
歯の表面は硬いエナメル質で覆われています。エナメル質には酸から歯を守る役割がありますが、乳歯のエナメル質は永久歯の半分程度しかありません。そのため、虫歯になるとエナメル質が溶かされやすく、その下にある象牙質まで一気に虫歯が広がりやすいのです。
神経を占める割合が大きい
乳歯の神経には、永久歯と生え変わる際に乳歯の根を溶かしてスムーズに生え変わるように促す役割があります。乳歯の神経が占める割合は大きく、また歯質が柔らかくエナメル質が薄いため、虫歯になるとすぐに神経にまで進行します。
奥歯の溝が深い
乳歯の奥歯の溝は深く、歯ブラシの毛先が届きにくいため、磨き残しが多くなりがちです。汚れが溜まりやすいため、虫歯になるリスクが高まります。
磨き残しが多い
子どもは歯磨きが上手にできないこともあり、磨き残しが多いです。歯磨きを嫌がることや、仕上げ磨きを十分にできないこともあるでしょう。磨き残しが積み重なり、虫歯菌が増殖すると、虫歯になるリスクが高まります。
間食が多い
子どもは間食の回数が多かったり、食事に時間がかかったりします。とくに糖分が多いおやつをダラダラ食べていると、お口の中が酸性に傾きやすいため、虫歯になるリスクが高まります。
家族から感染することがある
生まれたばかりの赤ちゃんのお口の中には虫歯菌が存在しません。
しかし、ご家族や周囲の方とスキンシップをするなかで、大人の口の中に存在している虫歯菌が子どもに感染することがあるのです。とくに子どもが2歳半くらいまでは虫歯菌に感染しやすい時期といわれているため注意が必要です。
乳歯の虫歯の特徴

乳歯の虫歯の特徴は、以下のとおりです。
奥歯と奥歯の間にできやすい
乳歯の虫歯は、奥歯と奥歯の間にできやすいです。乳歯の奥歯と奥歯の間は汚れが見えづらく、すき間がないことが多いため、歯ブラシだけでは汚れを落とすことが難しい場所です。歯ブラシと併用してデンタルフロスで汚れを除去する必要があるでしょう。
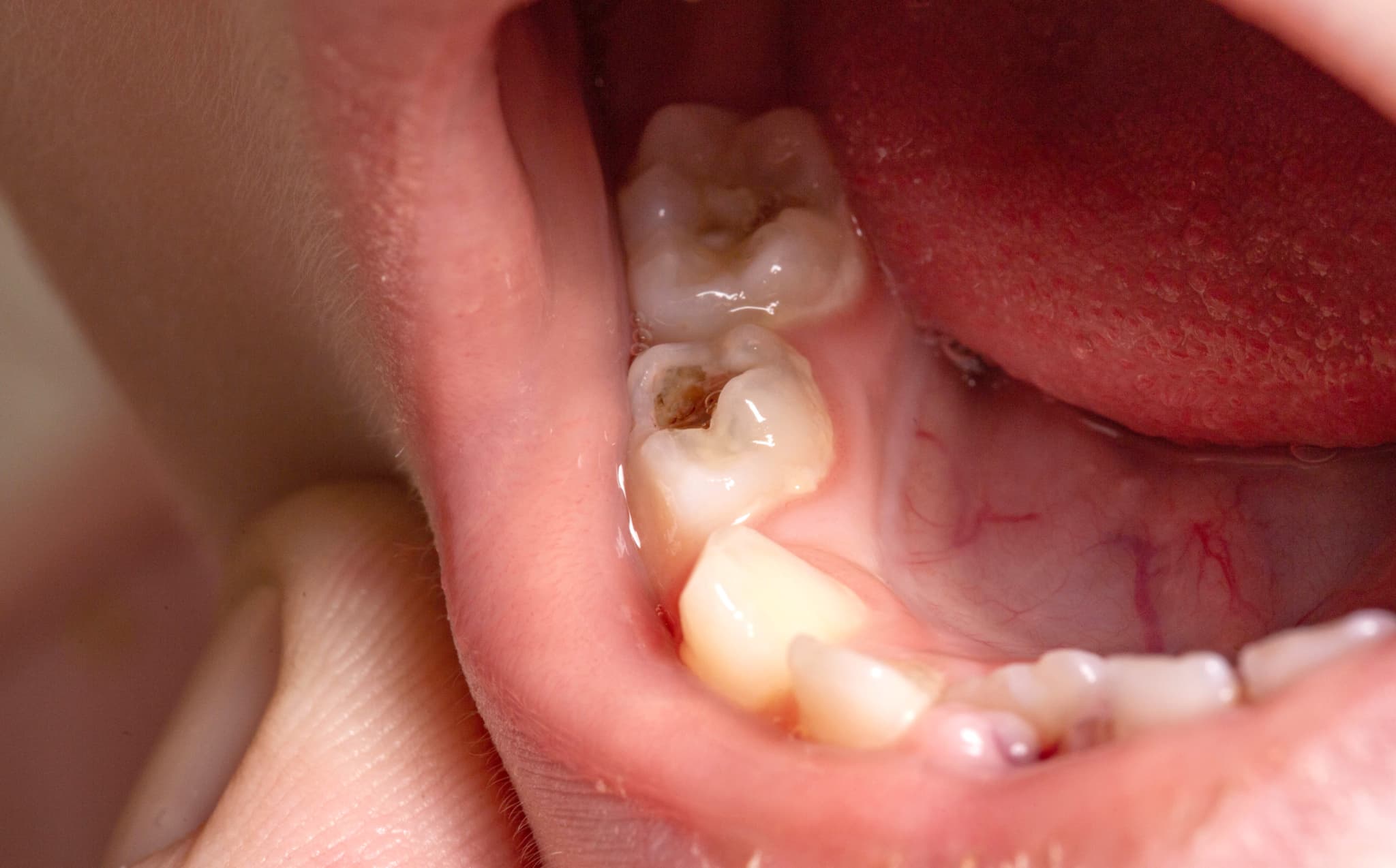
虫歯が黒色ではなく白色をしている
虫歯は黒いイメージがありますが、乳歯の虫歯は白い場合が多く、見た目ではわかりづらいです。そのため気づかないうちに進行していることも多いです。
健康な乳歯は透明感がありますが、虫歯になると透明感がない白色になります。白い虫歯があることを知っておくことで、早期発見につながるでしょう。
痛みが出にくい
子どもは痛みの感覚が十分に発達していないため、虫歯によって痛みが出ていても気がつきにくいです。また、子どもは症状をうまく伝えることができません。痛みが出たり引いたりすることもあるため、保護者の方も見逃しやすいです。
虫歯が進行して歯に大きな穴が開いたころに、食べ物が詰まって初めて虫歯に気がつくこともあります。
進行が早い
乳歯は柔らかくエナメル質が薄いため、虫歯になると進行が早いです。虫歯が神経に達するのも早いでしょう。虫歯が神経にまで進行すると、痛みが生じて治療に時間もかかるため、子どもの負担も大きくなります。
乳歯の虫歯の基本的な治療方法

乳歯の虫歯の治療方法は、虫歯の進行度合いによって変わります。ここでは、乳歯の虫歯の進行度別の治療方法を解説します。
初期の虫歯
乳歯の初期虫歯は、歯の一部が白く白濁している状態です。乳歯の白い白濁は、歯のエナメル質が溶けだしているサインです。痛みなどの自覚症状はほとんどありません。
この段階で発見できれば、歯を削らずにフッ素を塗ることで改善できる場合が多いです。フッ素には、歯の質を強化し、虫歯菌の活動を抑制する効果があります。
定期的に歯にフッ素を塗布し、毎日しっかりと歯磨きをすることで虫歯の進行を防ぐことができるでしょう。食事や間食の習慣を見直すことも大切です。
エナメル質の虫歯
エナメル質が虫歯になると、茶色や黒っぽくなります。この状態でも自覚症状はほとんどありませんが、見た目に変化が現れることで虫歯に気づくケースもあるでしょう。エナメル質の虫歯を治療する場合は、虫歯部分を削って、歯科用レジンを詰めます。
象牙質の虫歯
初期虫歯が進行すると、エナメル質を超えて象牙質まで進行します。この段階になると、甘いものを口にするとしみたり痛みが生じたりすることもあるでしょう。
虫歯の部分を削って取り除き、歯科用レジンや銀歯を詰めます。歯を大きく削った場合には、歯型を取って詰め物を詰めることもあるでしょう。歯を削る必要があるため、治療の負担が大きくなります。
神経にまで達した虫歯
虫歯が進行し、神経にまで達すると強い痛みが生じます。この状態にまで進行すると、神経を除去する治療を行う場合があります。局所麻酔をして神経を除去し、歯の内部を洗浄・消毒します。
治療が完了するまでに何度か通院しなければならないため、お子さんにとって負担が大きい治療といえます。神経を除去した乳歯は、永久歯との生え変わりの際にうまく抜けないなどといったリスクがあるため注意が必要です。
歯髄にまで達した虫歯
虫歯がさらに進行し、歯髄にまで達すると、歯を残すことが難しくなり、抜歯が必要になることもあるでしょう。乳歯を抜いた場合には、永久歯が生えてくるスペースを確保するための治療を行うケースもあります。
乳歯の虫歯を防ぐ方法

では、乳歯の虫歯を予防するためにはどうしたらいいのでしょうか。ここでは、乳歯の虫歯を防ぐ方法について解説します。
毎日しっかり歯磨きをする
乳歯の虫歯を防ぐためには、毎日しっかりと歯磨きをして汚れを除去することが重要です。奥歯の溝や歯と歯の間など、汚れが溜まりやすい部分を注意して磨きましょう。
子どもだけでは十分に磨くことは難しいため、夜寝る前の歯磨きの際には、保護者の方が仕上げ磨きしてあげることも大切です。歯ブラシだけでなく、デンタルフロスや歯間ブラシも活用して、細かい部分に付着した汚れも落としましょう。
子どもの歯磨きの仕方に不安がある場合は、歯科医院でブラッシング指導を受けるのも良いでしょう。
間食の回数や食事時間を見直す
間食の回数や食事時間を見直すことも虫歯予防に効果的です。間食の回数が多かったり、食事の時間が長かったりすると、お口の中が酸性に傾く時間が長くなるため、虫歯になるリスクが高まります。
そのため、間食の回数を減らし、ダラダラと食事をしないことが重要なのです。これによって、お口の中が酸性に傾くことを防げます。食後は、歯磨きやうがいの習慣をつけることも大切です。
フッ素を塗布する
フッ素には、歯質を強化する効果があります。上述のとおり、乳歯はエナメル質が薄いため、虫歯になるリスクが高いです。フッ素入りの歯磨き粉やジェルを毎日の歯磨きに取り入れることで歯質が強化されるため、虫歯予防に効果があります。
また、歯科医院でしか取り扱えない高濃度のフッ素を定期的に塗布してもらうことも効果的です。
シーラント処置を受ける
シーラントとは、奥歯の溝をレジンで埋める処置です。特に、乳歯の奥歯の溝は深く、食べかすなどの汚れが溜まりやすいため、虫歯になるリスクが高まります。
この奥歯の深い溝をレジンで埋めることで、食べかすなどの汚れが溜まりにくくなるため、虫歯の予防につながります。
定期検診を受ける
乳歯が生えそろった時期から、歯科医院で定期検診を受けることも大切です。定期検診では、虫歯はないかを確認するだけでなく、歯のお掃除やブラッシング指導、フッ素塗布なども行います。乳歯の虫歯の早期発見・早期治療にもつながります。
虫歯ができる前に歯科医院を受診しておくことで、子どもの歯科医院に対する恐怖心もなくせるかもしれません。
ご家族の方もしっかりと口腔ケアを行う
ご家族の方も虫歯にならないように、しっかりと口腔ケアを行うことも大切です。家族のお口の中を健康に保つことで、子どものお口の中の健康を守ることにつながります。
まとめ

乳歯は虫歯になりやすく、また永久歯に比べて進行が早いです。痛みが出にくいため発見が遅れることも多いでしょう。乳歯の虫歯が進行すると、のちに生えてくる永久歯に影響を及ぼす可能性もあるため注意が必要です。
乳歯の虫歯を予防するためには、日頃からしっかりと歯磨きを行い、間食の取り方などを見直すことが大切です。また、寝る前には仕上げ磨きをしっかりと行い、子どものお口の中をよく観察することで乳歯の虫歯の早期発見・早期治療につながります。
乳歯が生えそろったら、虫歯を予防するためにも、定期的に検診を受けましょう。
乳歯の虫歯にお悩みの方は、千葉県我孫子市の歯医者「ブライト歯科クリニック」にお気軽にご相談ください。
当院では、虫歯治療や成人矯正・小児矯正、入れ歯治療やインプラントなど、さまざまな診療を行っています。ホームページはこちら、Web予約も受け付けておりますので、ぜひご覧ください。

050-1809-4345