千葉県我孫子市の総合歯科医院で美しい笑顔を

症例一覧

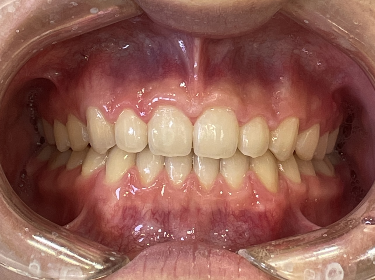
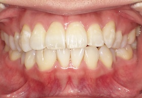
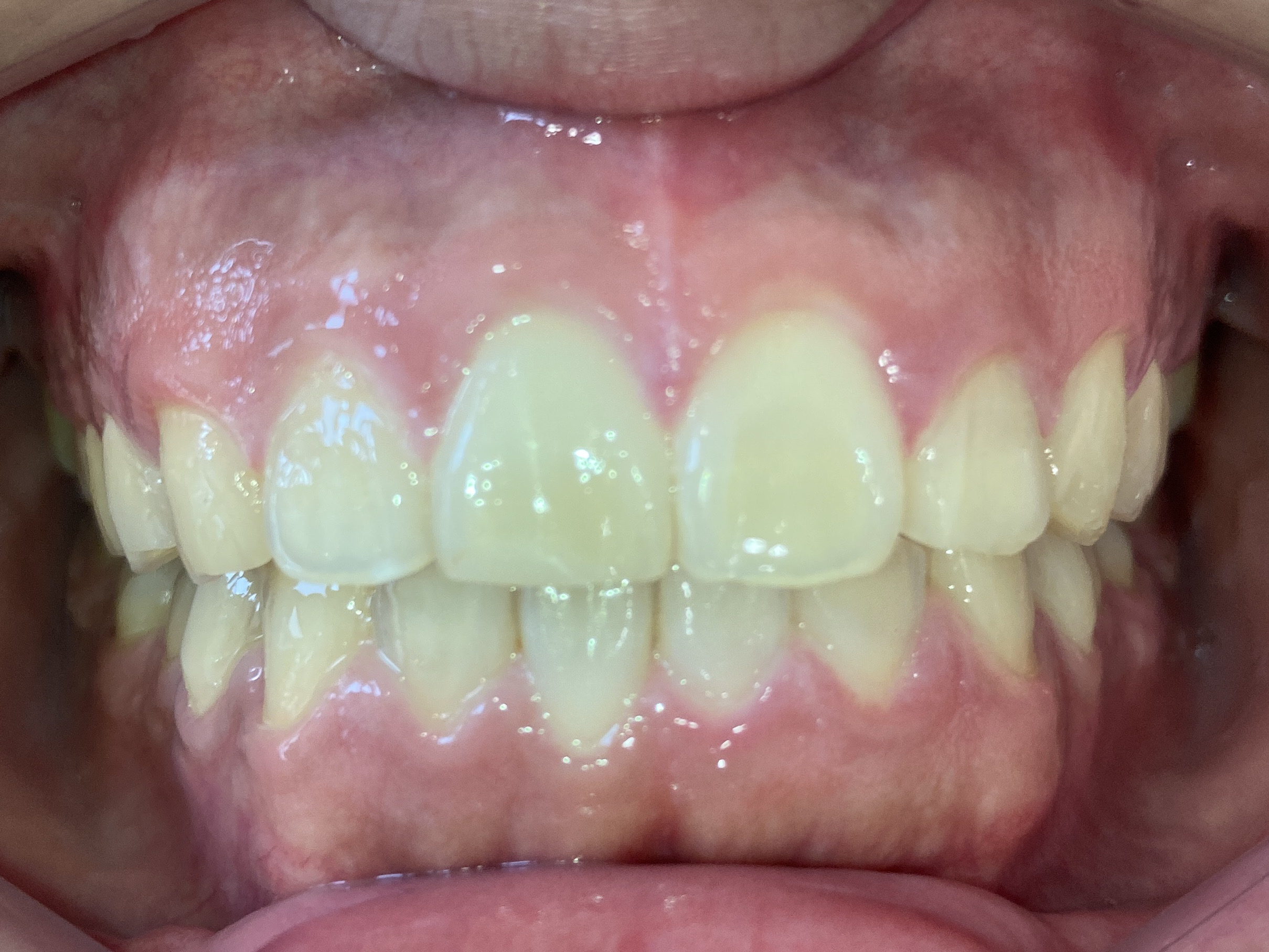
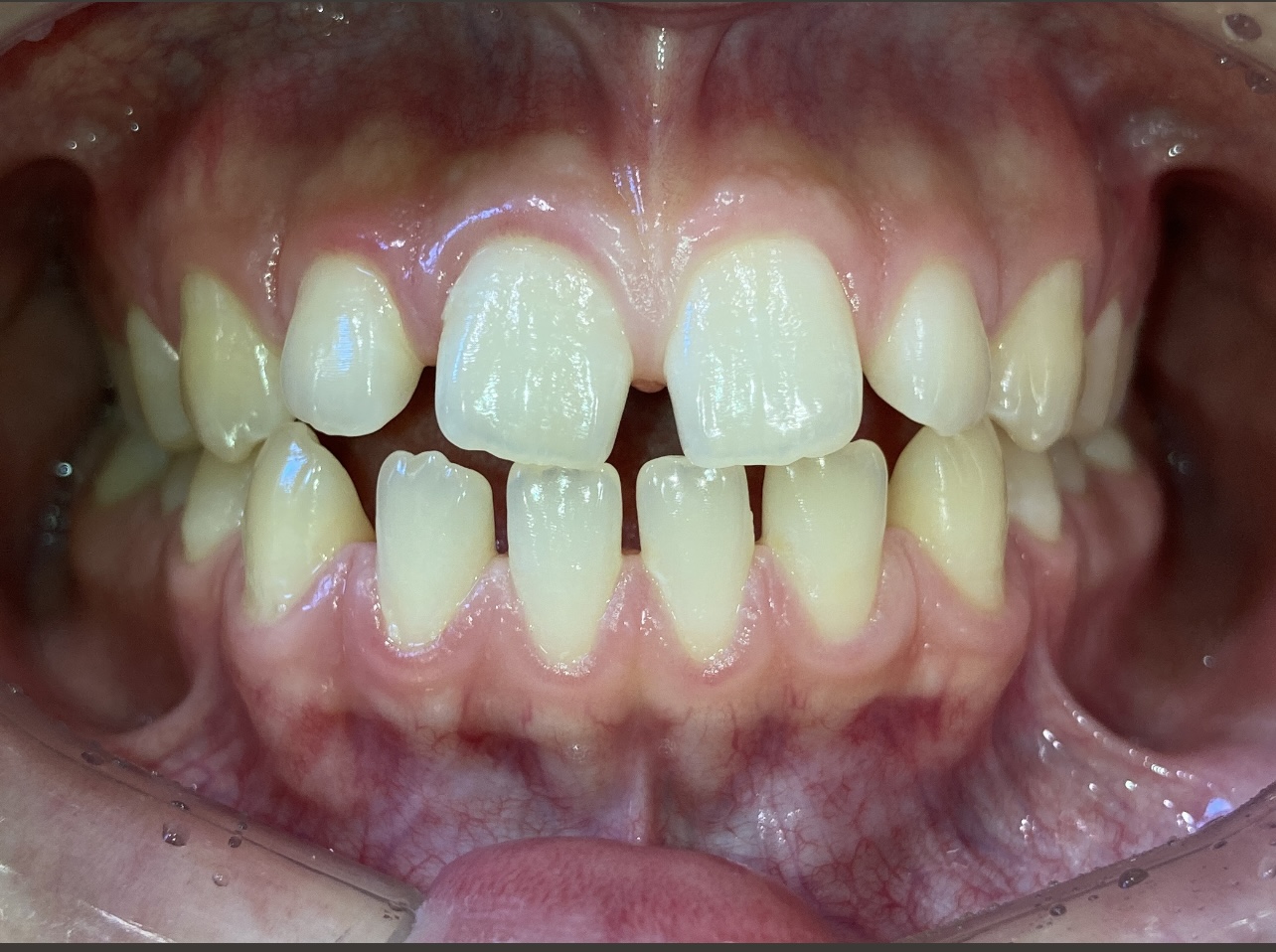
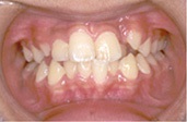
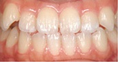
インビザライン 症例4

治療前

Before

治療後

After

年齢 20代
性別 女性
主訴 噛み合わせが悪いため矯正したい

オールオン6 インプラント治療

治療前

Before

治療後

After

年齢 60代
性別 女性
主訴 物が噛めないので治したい

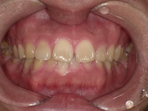
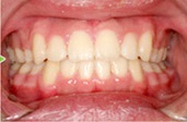
インビザライン 症例3

治療前

Before

治療後

After

年齢 20代
性別 男性
主訴 歯並びが悪いので矯正したい

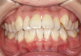
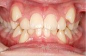
インビザライン 症例2

治療前

Before

治療後

After

年齢 20代
性別 男性
主訴 噛み合わせが悪いため矯正したい

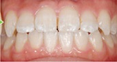
矯正 症例 前歯のワイヤー矯正2

治療前

Before

治療後

After

年齢 30歳
性別 女性
主訴 上前歯のみ部分的に治療したい

矯正 症例 前歯のワイヤー矯正

治療前

Before

治療後

After

年齢 30歳
性別 女性
主訴 上前歯のみ部分的に治療したい

矯正 症例 ワイヤー矯正

治療前

Before

治療後

After

年齢 19歳
性別 男性
主訴 八重歯を治療したい

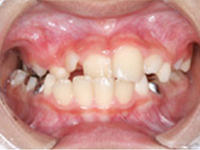
矯正 症例 取り外し装置(FKO)

治療前

Before

治療後

After

年齢 12歳
性別 女性
主訴 前歯をひっこめたい

矯正 症例 上顎全員ワイヤー、下顎臼歯ワイヤー

治療前

Before

治療後

After

年齢 23歳
性別 女性
主訴 八重歯、下の奥歯が倒れているのが気になる

矯正 症例 上顎のみ全額ワイヤー

治療前

Before

治療後

After

年齢 17歳
性別 男性
主訴 八重歯、全体の歯並びが気になる
ご予約 ➝ RESERVATION お問い合わせ ➝ CONTACT