オールオン6 インプラント治療
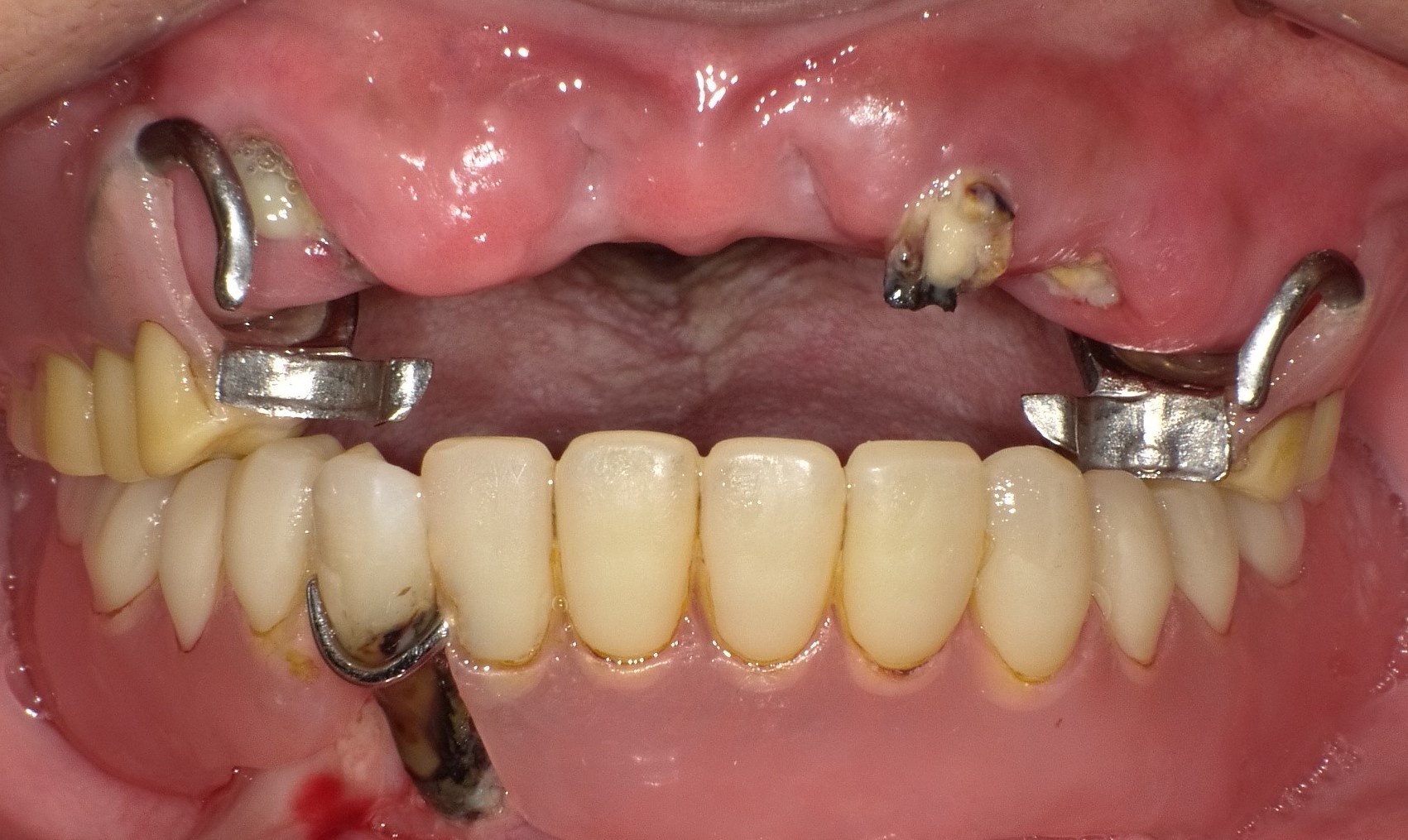
Before
After
| 年齢 | 60代 |
|---|---|
| 性別 | 女性 |
| 主訴 | 物が噛めないので治したい |
| 費用 | |
| 期間 | 約7ヶ月 | 副作用・リスク | 治療後の口腔管理が不適切な場合には、埋入したインプラント周囲に感染や炎症を起こし脱落する場合がある。 | 備考 | ・周りの歯への影響が全くない・美しい仕上がり・体に優しい安全素材(チタン)を使っている・快適な食生活を実現できる・生涯で歯に掛ける医療費の抑制にも繋がる |
| 年齢 | 60代 |
|---|---|
| 性別 | 女性 |
| 主訴 | 物が噛めないので治したい |
| 費用 | |
| 期間 | 約7ヶ月 | 副作用・リスク | 治療後の口腔管理が不適切な場合には、埋入したインプラント周囲に感染や炎症を起こし脱落する場合がある。 | 備考 | ・周りの歯への影響が全くない・美しい仕上がり・体に優しい安全素材(チタン)を使っている・快適な食生活を実現できる・生涯で歯に掛ける医療費の抑制にも繋がる |