

諦めない
インプラント治療を
お約束します
入れ歯でお困りの方、他院でインプラント治療を断られた方でも、当院なら治療できる可能性があります。
日本口腔インプラント学会専門医による確かな技術と豊富な経験で、患者様の笑顔を取り戻すお手伝いをいたします。 オールオン4やザイゴマインプラントなど高度な技術を駆使し、どのような症例でも最適な治療方法をご提案いたします。

インプラント専門医による
確かな執刀
豊富な経験と実績を持つ
専門医が担当します



豊富な経験と実績を持つ専門医が担当します。 当院のインプラント治療は、厳しい基準を突破した日本口腔インプラント学会の専門医が必ず執刀いたします。 高度な技術が求められる外科手術だからこそ、専門医が担うことに絶対的な価値があります。 他院で治療が困難だと診断された難症例にも対応可能です。 安心してお任せください。

手術中の不安を和らげ、安全を守ります
歯科麻酔専門医による
徹底した管理
手術中の不安を和らげ、安全を守ります。
インプラントなどの外科処置の際には、歯科麻酔を専門とする医師が立ち会い、患者様の全身状態を常に把握します。
心拍数や血圧などを細かく監視し、万全の体制で手術の安全を守ります。
痛みや恐怖心を極力感じることなく、リラックスして治療に臨んでいただける環境です。



年間症例数に応じて与えられる称号の実績
実績で選ばれるインビザライン治療

インビザライン
私たちは、マウスピース矯正(インビザライン)が日本で普及する以前から、この治療に真摯に取り組んでまいりました。 長年の経験と膨大な症例数は、私たちの確かな技術力の証です。 もちろんワイヤー矯正にも対応し、患者様それぞれに合った矯正治療をご提案いたします。
歯科用CTや口腔内スキャナーを完備
精密な診断を支えるデジタル設備

デジタル設備
良い治療は、正確な診断から始まります。 当院では歯科用CTを導入し、顎の骨の構造や神経の位置などを三次元で精密に把握します。 また、光学スキャナーによる不快感の少ない型採りも可能です。 これらの機器が、治療の精度と安全性を飛躍的に高めています。
複数の3Dプリンターが院内で稼働
院内技工がもたらす迅速な治療
迅速な
治療を提供
院内に技工設備と3Dプリンターを備え、手術に使う補助器具(サージカルステント)や矯正用のマウスピースなどを自院で作製しています。 これにより、外部の技工所に依頼する時間や費用を削減できます。 より質の高い装置を、より早く、適正な価格でご用意できるのが強みです。
各分野の専門家が知見を結集
グループ連携で実現する最適な医療
グループ
による連携
私たちは、千葉県内に複数のクリニックを展開する医療法人グループです。 それぞれの医院に在籍する、様々な分野の専門知識を持った歯科医師が緊密に連携します。 症例に応じてグループ全体の知見を結集し、患者様にとっての最善の治療方針を導き出します。
納得できるまで何度でもご説明
治療を決めるのは患者様ご自身
私たちの
役目
私たちは、治療を無理強いすることはありません。 考えられる選択肢をすべて提示し、それぞれの長所と短所を包み隠さずお話しします。 説明をじっくり聞き、考える時間を持った上で、ご自身の意志で治療法を選んでいただく。 その決定を尊重し、全力でサポートするのが私たちの役目です。


将来を見据えた治療計画
我孫子市の皆様の健康を支える
総合歯科医院

生涯にわたってお口の健康を守るために、私たちは1本の歯だけでなくお口全体を見据えて治療計画を立てます。なぜその治療が必要なのか、将来どんなメリットがあるのかを丁寧に説明し、ご自身の歯で長く食事を楽しめるようサポートします。


痛くなくても通える
通いたくなる理由がある
当院のすごい、
診療や専門医のこと

痛くなくても通える
通いたくなる理由がある
当院のすごい、
診療や専門医のこと
高難度のインプラント治療もお任せください。 All-on-4・ザイゴマ・GBR・サイナスリフト・抜歯即時埋入・サージカルガイドなど、多様な手法に対応し、安全で長期安定を目指します。
All-on-4
ザイゴマ
サイナスリフト
高難度のインプラント治療もお任せください。 All-on-4・ザイゴマ・GBR・サイナスリフト・抜歯即時埋入・サージカルガイドなど、多様な手法に対応し、安全で長期安定を目指します。
診療の
いろいろ
複数の治療法をご用意しており、丁寧なカウンセリングと精密検査を行った上で、あなたに最適な矯正プランをご提案いたします。安心して治療を始められるよう、メリット・デメリットをしっかり説明し、納得いただいてから治療を進めてまいります。

目立たないマウスピース矯正

確実なマルチブラケット矯正

治療期間を縮める加速矯正装置

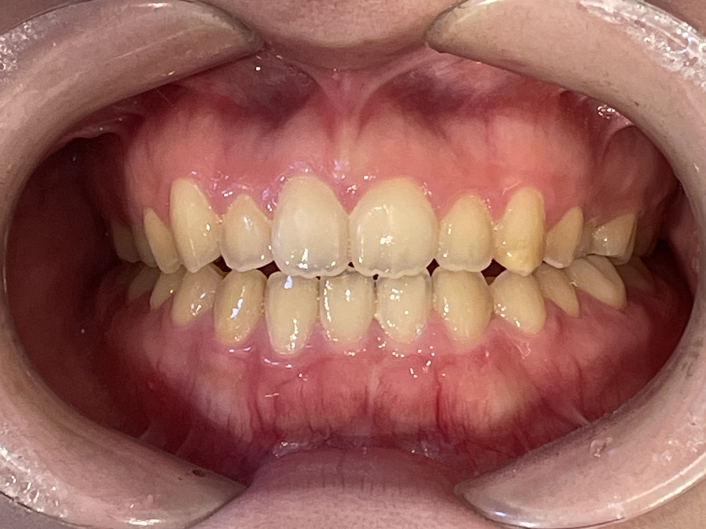
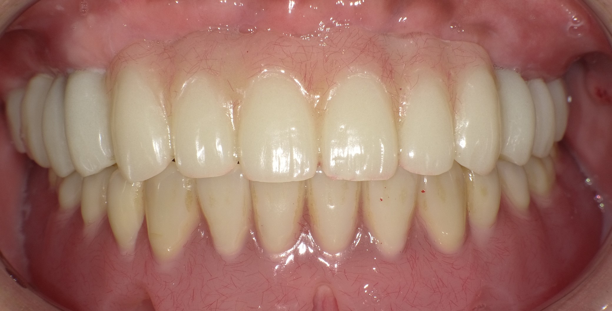
【当院の治療】before/after
症例紹介治療内容と費用について
MEDICAL
INFORMATION2
歯を美しくする


ブライト歯科クリニック/院長
髙橋 克彦
KATSUHIKO TAKAHASHI昭和医師大学歯学部卒業後、同大学での研究を経て、2003年にブライト歯科クリニックを開院。
医療法人社団優勢会理事長として、地域医療に貢献。
日本口腔インプラント学会専門医など、多数の資格を保有。
私にとって、歯科医師は天職です。
幼い頃から得意だったものづくりへの興味と、医療で人の役に立ちたいという想いが、この道へと導いてくれました。
これまで培ってきた知識と技術のすべてを、お口のことで悩んでいる患者様のために役立てたい。
その一心で、日々診療に向き合っています。
ご自身の歯で生涯笑顔でいられるよう、全力でお手伝いさせてください。
あなたのそのお悩み、ぜひ私にお聞かせください。
金ぱつ先生としてYouTubeにて動画配信中!
TikTokやInstagramでも役立つ情報を提供しておりますので、
ぜひご確認ください!
医療法人社団優勢会
紹介動画
当院で一緒に働きませんか?
STAFF募集中!
当医院では、集患増加にともない新しいスタッフを募集しています。
詳細は各職種よりご確認ください。院内見学やお問い合わせもお気軽にご連絡ください。皆様からのご応募、お待ちしております。

050-1809-4345































